
Hygiene and Airflow
Why Oakdale
Hygienists form an important role in keeping your teeth and gums healthy.
At Oakdale Dental, Leicester we have dental hygienists who offer a range of treatments from routine check-ups to more complex treatments for gum disease.
Airflow Polish
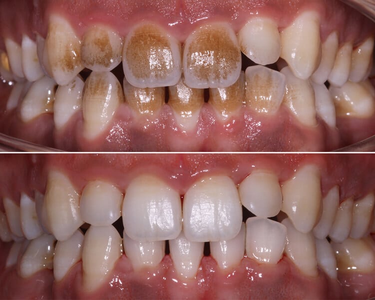
Our latest hygiene treatment, perfect for removing stains and brightening teeth.

Scale & Polish
Routine cleaning of teeth by our hygienist to remove plaque and tartar buildup.
Should I Be Using An Electric Toothbrush?
Book Your Consultation
For Hygiene Appointment

Routine Appointment
Scale and Polish
The scale and polish is a very common treatment carried out by hygienists. It is designed to keep your teeth clean and healthy and prevent problems from occurring in the future.
Plaque forms on your teeth and if it is not removed it will harden to form tartar. If left, this can cause bad breath, cavities, tooth decay and even gum disease.
A scale and polish will remove plaque and prevent the build-up of bacteria and gum disease.
At the routine appointment our hygienists can offer advice on measures to help prevent the build-up of plaque.


What Is
Periodontitis?
When plaque builds up and isn’t treated, it can develop into more dangerous problems.
Gingivitis – the bacteria from plaque can cause inflammation of the gums which is known as gingivitis. Gums can become red, swollen, painful and prone to bleeding.
Periodontitis – If left untreated, gingivitis can develop into periodontitis. The gums pull away from the tooth forming pockets which contain bacteria and these become inflamed and infected.
Learn More About
Hygiene Treatments
Airflow Polish In Leicester
With an ever-increasing understanding of how we interact with both good and bad bacteria and the Biofilms they create, such as dental plaque, new approaches are developed to allow us to optimise your oral health.
We also understand how health and disease in the mouth can affect the rest of the body, and this relationship is true in both directions.
Traditionally cleaning has been done by scaling and polishing and for decades not much has advanced in this time, but now there is AIRFLOW POLISH.
What does Airflow Polish do?
Our emphasis has always been on the prevention of oral disease but with the advent of Airflow Polish we can now professionally clean your teeth and mouth to remove this bad Biofilm as well as any surface stains that collect. This whole process is painless and more effective than ever before. The new process, called Guided Biofilm Therapy (GBT for short) also includes showing you where the plaque is so that you are able to minimise this Biofilm after personalised coaching.
Ultimately it represents the pinnacle in what we can do as professionals to help you keep your teeth for a lifetime but also promote good general health and keep your mouth looking at its best too.
Why use Airflow Polish?
Even if your oral hygiene great, due to our lifestyle choices it is easy for our teeth to get stained over time. Airflow polishing is a great way of brightening up your natural teeth and improving your smile.
The price for Airflow polish treatment can be found on our fees page, which is a 30-minute session. This revolutionary treatment is quickly becoming popular amongst our patients, so don’t delay and book your next appointment for Airflow polish at Oakdale Dental.
Other hygiene Treatments
Periodontitis Treatment
Periodontal treatments vary according to the extent of the gum disease. It could be as simple as changing your dental routine or behaviour. More severe cases will mean controlling and dealing with the infection. At Oakdale Dental we offer appointments with our hygienists to discuss periodontal treatments.
Dentomycin Treatment
Dentomycin is a gel that contains antibiotics which can treat periodontitis. The gel is applied directly to the pockets in the gums where the bacteria is growing.
Hurriseal Application
If you have sensitive teeth or sensitive gums it can be painful and annoying as you try to avoid certain food and drinks. At Oakdale Dental we can help by offering Hurriseal. This special solution is applied directly to the teeth to help protect them and overcome hyper sensitivity.
