
Before & After Dental Implants
Slide right for BEFORE, slide left for AFTER
Slide right for BEFORE, slide left for AFTER
Slide right for BEFORE, slide left for AFTER
Slide right for BEFORE, slide left for AFTER
Slide right for BEFORE, slide left for AFTER
Slide right for BEFORE, slide left for AFTER
Slide right for BEFORE, slide left for AFTER
Slide right for BEFORE, slide left for AFTER
Slide right for BEFORE, slide left for AFTER
Slide right for BEFORE, slide left for AFTER
Slide right for BEFORE, slide left for AFTER
Slide right for BEFORE, slide left for AFTER
Slide right for BEFORE, slide left for AFTER
Slide right for BEFORE, slide left for AFTER
Slide right for BEFORE, slide left for AFTER
Slide right for BEFORE, slide left for AFTER
Slide right for BEFORE, slide left for AFTER

Patient had whitening and then replacement of his 3 tooth bridge
Before any dental treatment

After whitening teeth, however the bridge didn't whiten

After replacing the bridge to match the natural teeth

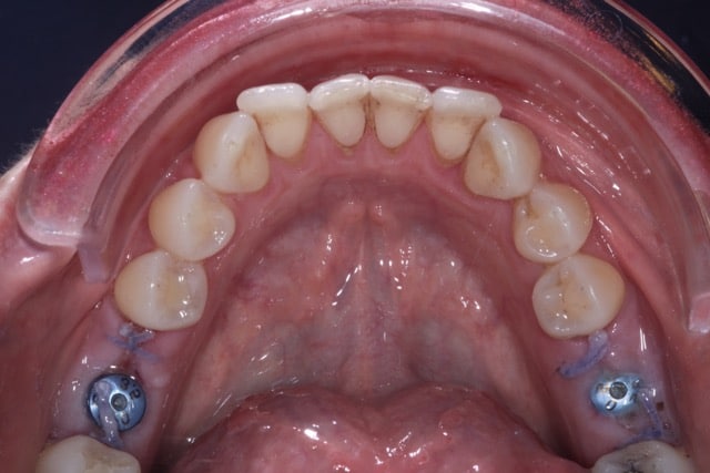
This patient had implants placed LR6 and LL6
Placement of implants


Treatment completed within 2 months.

Before & After Cerec Restorations
Slide right for BEFORE, slide left for AFTER
Slide right for BEFORE, slide left for AFTER
Slide right for BEFORE, slide left for AFTER
Slide right for BEFORE, slide left for AFTER
Slide right for BEFORE, slide left for AFTER
Slide right for BEFORE, slide left for AFTER
